🟫 Tumor de células granulares (Abrikossoff) — Actualización 2026
El tumor de células granulares (GCT), también conocido como tumor de Abrikossoff, es una
neoplasia infrecuente que hoy se considera, en la mayoría de los casos, de diferenciación schwanniana.
Aunque puede aparecer prácticamente en cualquier localización, lo más habitual es encontrarlo en
cavidad oral —sobre todo en lengua—, piel, tejido subcutáneo, tubo digestivo y
de forma menos frecuente en mama, vías respiratorias o aparato genitourinario.
En la práctica clínica suele presentarse como un nódulo solitario, pequeño, indoloro y de crecimiento lento.
La mayoría son benignos, pero existe un pequeño subgrupo de lesiones atípicas o malignas con peor
pronóstico, de modo que la histología y la calidad de la exéresis son importantes.
Desde el punto de vista patológico, el gran pitfall es la pseudoepiteliomatosis hiperplásica superficial,
que puede simular un carcinoma escamoso si la biopsia es demasiado superficial. Por eso, cuando la lesión
es resecable, suele preferirse una muestra adecuada o exéresis completa frente a biopsias demasiado limitadas.
Hallazgo característico
0) En 1 minuto
- Qué es: tumor infrecuente, habitualmente benigno, hoy considerado de origen schwanniano en la mayoría de casos.
- Dónde aparece: sobre todo en lengua, cabeza y cuello, piel, subcutis y tracto digestivo.
- Clínica típica: nódulo solitario, indoloro, pequeño y de crecimiento lento.
- AP típica: células poligonales con citoplasma granular eosinófilo, PAS positivo y resistente a diastasa.
- IHQ: S100, SOX10 y CD68 suelen ser positivos.
- Trampa clásica: la pseudoepiteliomatosis superficial puede simular carcinoma escamoso en biopsias superficiales.
- Malignidad: es rara, pero existe; Fanburg-Smith sigue siendo el marco práctico clásico.
1) Conceptos
1.1 Naturaleza del tumor
El GCT se incluyó en la OMS 2020 dentro de los tumores de vaina nerviosa periférica, aunque en la práctica suele manejarse como entidad “relacionada” más que como núcleo central del bloque. La mayoría son de estirpe schwanniana, aunque existe una variante rara no neural que no sigue el patrón S100 habitual.
1.2 Asociaciones
- La mayoría de los casos son esporádicos.
- En lesiones múltiples, conviene recordar su asociación descrita con Noonan, NF1 y LEOPARD.
2) Clínica
2.1 Presentación habitual
- Nódulo pequeño, habitualmente < 3–4 cm.
- Solitary and slow-growing lesion.
- Generalmente indoloro; a veces hallazgo incidental.
- Frecuente en mujeres y entre la 4.ª y 6.ª décadas, aunque puede verse en cualquier edad.
2.2 Localizaciones clínicas importantes
- Lengua y cavidad oral.
- Piel y tejido subcutáneo.
- Tubo digestivo.
- Mama, donde puede simular radiológicamente una neoplasia maligna.
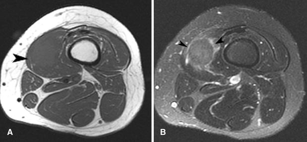
3) Imagen
3.1 Regla práctica
El GCT no tiene un patrón de imagen realmente específico. La utilidad de la imagen depende mucho de la localización y del diferencial local. En mama, por ejemplo, puede simular carcinoma; en tejido blando superficial puede parecer una lesión benigna inespecífica.
3.2 Qué aporta la imagen
- Define tamaño y planos anatómicos.
- Ayuda a planificar resección o biopsia.
- No suele permitir distinguir con seguridad entre benignidad y malignidad.
4) Histopatología
4.1 Hallazgos típicos
- Lesión no encapsulada e infiltrativa microscópicamente.
- Nidos, cordones o láminas de células poligonales.
- Citoplasma eosinófilo granular abundante.
- Gránulos PAS positivos y resistentes a diastasa, correlacionados con lisosomas.
- Pueden verse pustulo-ovoid bodies of Milian.
4.2 Pseudoepiteliomatosis
Más de la mitad de los casos pueden mostrar pseudoepiteliomatous hyperplasia superficial. Si la biopsia es demasiado superficial, el diagnóstico puede desviarse erróneamente hacia carcinoma escamoso.
5) Inmunohistoquímica
| Marcador | Patrón habitual | Comentario |
|---|---|---|
| S100 | Positivo | Apoya diferenciación schwanniana |
| SOX10 | Positivo | Muy útil como marcador neural |
| CD68 | Positivo | Relaciona con la carga lisosomal del citoplasma granular |
| TFE3 | Puede sobreexpresarse | No implica necesariamente rearrangement |
| Ki-67 | Bajo en benignos; mayor en atípicos/malignos | Útil como apoyo, no aislado |
6) Atypia y malignidad
6.1 Frecuencia
La gran mayoría de los GCT son benignos. Sólo alrededor del 1–2% se consideran malignos, pero cuando lo son el pronóstico puede empeorar de forma importante.
6.2 Criterios clásicos de Fanburg-Smith
El sistema clásico usa seis rasgos:
- Necrosis
- Mitosis aumentadas (>2/10 CGA)
- Células fusiformes
- Pleomorfismo nuclear
- Nucleolos prominentes
- Alta relación núcleo/citoplasma
0 criterios → benigno · 1–2 → atípico · ≥3 → maligno
6.3 Mensaje práctico
En un GCT, el término “maligno” no debe usarse por impresión subjetiva. Debe apoyarse en criterios definidos o en comportamiento metastásico.
7) Diagnóstico diferencial
7.1 Diferencial clínico/radiológico
- Lesiones cutáneas o subcutáneas benignas.
- Carcinoma de mama si la localización es mamaria.
- Neurofibroma o schwannoma en algunas localizaciones.
7.2 Diferencial histológico
- Carcinoma escamoso si la muestra es superficial y sólo captura pseudoepiteliomatosis.
- Melanoma o nevos melanocíticos granulares.
- Rabdomioma / rabdomiosarcoma, lesiones histiocitarias y otras neoplasias con citoplasma granular.
- MPNST, schwannoma y neurofibroma.
8) Tratamiento
8.1 Lesión benigna / típica
- Exéresis completa con márgenes negativos cuando sea factible.
- La resección completa suele ser curativa.
8.2 Si hay atipia o malignidad
- Tratamiento más agresivo según localización y extensión.
- Considerar estudio ganglionar sólo en contexto de lesión maligna, no de rutina en benignos.
- La planificación debe ser oncológica si el caso no es claramente benigno.
8.3 Qué no hacer
- No conformarse con una muestra superficial dudosa.
- No dejar resección incompleta si la lesión era resecable con seguridad.
- No etiquetar como maligna sin criterios definidos.
9) Pronóstico
9.1 Benignos
El pronóstico de los GCT benignos es excelente y la exéresis completa suele ser curativa. La recurrencia es baja si los márgenes son negativos.
9.2 Márgenes
Con resección completa, la recurrencia publicada es baja; con resección incompleta aumenta de forma notable.
9.3 Malignos
Los GCT malignos tienen un comportamiento mucho peor y pueden metastatizar.
10) Algoritmo práctico
Resumen práctico
Indicaciones
- Nódulo pequeño de localización oral, cutánea o subcutánea con sospecha de GCT.
- Lesión con histología granular que requiere panel neural.
- Caso con atipia histológica o sospecha de malignidad.
Técnica
- Muestra representativa o exéresis completa si es factible.
- Estudio histológico con PAS/diastasa e IHQ neural.
- Si hay rasgos de malignidad, planteamiento oncológico completo.
Riesgos y complicaciones
- Biopsia superficial con falso diagnóstico de carcinoma escamoso.
- Resección incompleta con mayor riesgo de recurrencia.
- Sobrediagnosticar malignidad sin criterios definidos.
Qué esperar del resultado
- La mayoría son benignos y curables con exéresis completa.
- El diagnóstico correcto depende de una buena muestra.
- La minoría maligna necesita circuito oncológico.
11) Bibliografía
Clasificación y conceptos
- WHO Classification of Tumours Editorial Board. Soft Tissue and Bone Tumours. 5th ed. Lyon: IARC; 2020.
- Sbaraglia M, Bellan E, Dei Tos AP. The 2020 WHO Classification of Soft Tissue Tumours: news and perspectives. Pathologica. 2021.
Revisión clínica y patológica
- Neelon D, Lannan F, Childs J. Granular Cell Tumor. StatPearls. Updated 2023.
- Ordóñez NG. Granular cell tumor: a review and update. Adv Anat Pathol. 1999.
Malignidad
- Fanburg-Smith JC, Meis-Kindblom JM, Fante R, Kindblom LG. Malignant granular cell tumor of soft tissue: diagnostic criteria and clinicopathologic correlation. Am J Surg Pathol. 1998.
🧭 Seguir navegando por este bloque
Has terminado esta ficha. Desde aquí puedes volver a la página troncal o pasar a otras entidades relacionadas.
