Neuroma de Morton — Actualización 2026: fibrosis perineural reactiva, no neoplásica, del nervio interdigital plantar
El neuroma de Morton, también llamado metatarsalgia de Morton o neuroma interdigital, no es un tumor verdadero ni una neoplasia, sino una reacción fibrótica y degenerativa del nervio interdigital plantar, secundaria a la compresión repetida contra el ligamento intermetatarsiano transverso. Se trata de una de las causas más frecuentes de metatarsalgia en la población adulta, especialmente en mujeres de mediana edad. Aunque el término "neuroma" sugiere equivocadamente una lesión tumoral, histológicamente se observa fibrosis perineural, degeneración axonal y engrosamiento del tejido conectivo, sin proliferación neoplásica. Su importancia clínica radica en el dolor incapacitante que produce, su diagnóstico diferencial con otras causas de dolor en el antepié y la existencia de opciones terapéuticas eficaces, tanto conservadoras como quirúrgicas. Esta ficha, actualizada a 2026, desarrolla de manera sistemática la epidemiología, etiopatogenia, clínica, diagnóstico por imagen, diagnóstico diferencial, opciones terapéuticas y pronóstico del neuroma de Morton.
0) En 1 minuto
- ✅ Qué es: El neuroma de Morton es una degeneración fibrótica del nervio interdigital plantar, generalmente en el tercer espacio, causada por compresión repetida contra el ligamento intermetatarsiano. No es un tumor verdadero.
- ✅ Clínica típica: dolor urente o punzante en el antepié (tercer o segundo espacio) que irradia a los dedos, empeora con el calzado estrecho o al caminar y mejora al descalzarse y masajear la zona. Signo de Mulder: chasquido doloroso al comprimir lateralmente el antepié.
- ✅ Imagen clave: la ecografía es la prueba de elección. Muestra una masa hipoecoica, bien delimitada, entre las cabezas metatarsianas. La RM confirma el diagnóstico y descarta otras lesiones.
- ✅ Diagnóstico diferencial: metatarsalgia por sobrecarga, bursitis intermetatarsiana, fractura por estrés, artrosis metatarsofalángica, quiste sinovial.
- ✅ Tratamiento: inicialmente conservador: calzado ancho con suela gruesa, plantillas con soporte metatarsal, infiltraciones ecoguiadas con corticoides y anestésico. Si fracasa, cirugía (neurectomía).
- ✅ Pronóstico: el tratamiento conservador mejora los síntomas en un 60-80% de los pacientes. La cirugía tiene una alta tasa de éxito (80-90%) y baja recidiva.
Pitfall: Confundir el neuroma de Morton con una metatarsalgia por sobrecarga o una fractura por estrés puede llevar a un tratamiento inadecuado. El diagnóstico se basa en la clínica típica y se confirma con ecografía. Además, no debe confundirse con un tumor verdadero de la vaina nerviosa (schwannoma, neurofibroma), ya que el manejo es completamente diferente.
1) Conceptos generales
1.1 Definición
El neuroma de Morton es una lesión degenerativa y fibrótica del nervio interdigital plantar, no una neoplasia. Se caracteriza por un engrosamiento del tejido conectivo perineural, degeneración axonal y fibrosis, secundario a la compresión repetida del nervio contra el borde inferior del ligamento metatarsiano transverso profundo. La localización más frecuente es el tercer espacio interdigital (entre el tercer y cuarto dedo), seguida del segundo espacio.
1.2 Epidemiología
- 📈 Frecuencia: es una de las causas más comunes de metatarsalgia en la población adulta, especialmente en mujeres de mediana edad (40-60 años).
- 📈 Sexo: mucho más frecuente en mujeres (hasta 8:1), probablemente por el uso de calzado estrecho de tacón alto.
- 📈 Edad: típicamente entre los 40 y 60 años, aunque puede aparecer en cualquier edad.
- 📈 Localización: el tercer espacio interdigital es el más afectado (80-90% de los casos), seguido del segundo espacio (10-15%). Es excepcional en el primero o cuarto espacio.
3) Etiopatogenia
- 🔹 Mecanismo principal: compresión repetitiva del nervio interdigital plantar contra el ligamento metatarsiano transverso profundo durante la marcha, especialmente en situaciones de hiperextensión de los dedos (calzado estrecho y tacón alto).
- 🔹 Factores anatómicos predisponentes: el tercer espacio interdigital tiene un doble aporte nervioso (rama comunicante del nervio plantar medial y lateral), lo que lo hace más grueso y más susceptible a la compresión. La movilidad reducida del cuarto metatarsiano también contribuye.
- 🔹 Cambios histopatológicos: engrosamiento del perineuro, fibrosis endoneural, degeneración axonal, desmielinización segmentaria y formación de tejido conectivo hialinizado. No hay proliferación neoplásica de células de Schwann.
- 🔹 Factores biomecánicos: pronación excesiva del pie, inestabilidad de los metatarsianos, dedos en garra o martillo pueden aumentar la tensión sobre el nervio.
4) Clínica
3.1 Síntomas
- 🔹 Dolor: carácter urente, punzante o calambre en el antepié, localizado en el espacio interdigital afectado (generalmente tercero). El dolor irradia a los dedos adyacentes.
- 🔹 Desencadenantes: empeora con el calzado estrecho, tacones altos, caminar largas distancias o correr. Mejora al descalzarse, masajear la zona y con el reposo.
- 🔹 Sensación de cuerpo extraño: muchos pacientes describen la sensación de tener una "canica" o "arruga en el calcetín" bajo la cabeza de los metatarsianos.
- 🔹 Parestesias: hormigueo o adormecimiento en los dedos, aunque menos frecuente que el dolor.
3.2 Exploración física
- 🔹 Palpación: dolor a la presión directa sobre el espacio interdigital afectado, entre las cabezas metatarsianas.
- 🔹 Signo de Mulder (o prueba de compresión lateral): con una mano se comprime lateralmente el antepié mientras con la otra se palpa el espacio interdigital. Se produce un chasquido palpable (y a veces audible) acompañado de dolor irradiado a los dedos. Es muy sugestivo del neuroma.
- 🔹 Movilidad metatarsiana: puede haber limitación o dolor a la movilización pasiva de los metatarsianos.
- 🔹 Deformidades asociadas: evaluar presencia de dedos en garra, hallux valgus o pie cavo.
5) Imagen
4.1 Radiografía simple
- 🔹 Utilidad limitada: la radiografía es normal en el neuroma de Morton. Se utiliza principalmente para descartar otras causas de metatarsalgia (fractura de estrés, artrosis, deformidades óseas).
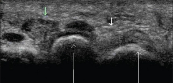
4.2 Ecografía
- 🔹 Prueba de elección. Debe realizarse con transductores lineales de alta frecuencia (10-18 MHz).
- 🔹 Hallazgo característico: masa hipoecoica, bien delimitada, de forma ovalada o redondeada, localizada en el espacio interdigital, entre las cabezas metatarsianas, justo por debajo del ligamento metatarsiano transverso.
- 🔹 Tamaño: suele medir entre 5 y 10 mm de diámetro. Puede haber un pequeño derrame en la bursa intermetatarsiana adyacente.
- 🔹 Doppler: generalmente ausencia de flujo vascular (a diferencia de las bursitis inflamatorias).
- 🔹 Dinámica: la maniobra de Mulder bajo visión ecográfica puede mostrar el desplazamiento del neuroma y confirmar el diagnóstico.
Hallazgo ecográfico característico
4.3 Resonancia magnética (RM)
- 🔹 Indicaciones: casos atípicos, dudas diagnósticas o planificación quirúrgica compleja.
- 🔹 Hallazgos: masa hipointensa en T1 e hipointensa o isointensa en T2 (fibrosis). En secuencias con supresión grasa puede verse un halo de edema perilesional. El realce tras contraste es variable, a menudo escaso o ausente.
- 🔹 Diagnóstico diferencial: la RM permite diferenciar el neuroma de una bursitis (hiperintensa en T2, con realce periférico) o de un tumor de partes blandas.
6) Diagnóstico diferencial
| Entidad | Clave diferencial |
|---|---|
| Metatarsalgia por sobrecarga | Dolor más difuso, sin signo de Mulder, mejora con plantillas. Radiografía normal. Ecografía sin masa. |
| Bursitis intermetatarsiana | Ecografía: colección líquida anecoica, a veces con tabiques. Doppler puede mostrar hiperemia periférica. RM: hiperintensa en T2. |
| Fractura por estrés metatarsiana | Dolor localizado en la diáfisis, no en el espacio interdigital. Radiografía puede mostrar callo de fractura o periostitis. RM: edema óseo. |
| Artrosis metatarsofalángica | Dolor en la articulación, con limitación de la movilidad. Radiografía: pinzamiento, osteofitos. |
| Quiste sinovial | Masa quística, anecoica en ecografía, con refuerzo posterior. Puede comunicarse con la articulación. |
| Tumor de células gigantes de la vaina tendinosa | Masa sólida, hipoecoica, con Doppler positivo a menudo, localizada en la vaina de los tendones flexores. RM: depósitos de hemosiderina (hipointenso en T2). |
| Neuroma traumático | Antecedente de lesión nerviosa clara, no solo compresión repetitiva. Ecografía: engrosamiento fusiforme del nervio. |
7) Tratamiento
6.1 Tratamiento conservador (primera línea)
- ✅ Modificación del calzado: calzado ancho, de punta redonda, con suela gruesa y amortiguada. Evitar tacones altos y zapatos estrechos.
- ✅ Plantillas ortopédicas: con soporte metatarsal (barra retrocapital) para reducir la presión sobre las cabezas de los metatarsianos. También pueden incluir almohadillas metatarsianas.
- ✅ Fisioterapia: ejercicios de estiramiento de la fascia plantar y la musculatura intrínseca del pie, masajes y técnicas de movilización.
- ✅ AINEs orales: antiinflamatorios no esteroideos durante los brotes dolorosos.
- ✅ Infiltraciones ecoguiadas: combinación de anestésico local (lidocaína, bupivacaína) y corticoide (triamcinolona, metilprednisolona). La guía ecográfica mejora la precisión y los resultados. Pueden realizarse de 1 a 3 infiltraciones, con un intervalo de 3-4 semanas. La tasa de éxito inicial es del 60-80%, aunque hasta un 30% de los pacientes pueden recaer en el plazo de un año.
6.2 Tratamiento quirúrgico
- ✅ Indicaciones: fracaso del tratamiento conservador (persistencia de dolor incapacitante tras 3-6 meses de manejo adecuado), recidiva post-infiltración, o neuromas grandes con compresión severa.
- ✅ Técnica estándar: neurectomía (resección del neuroma). Se realiza un abordaje dorsal longitudinal en el espacio interdigital afectado. Se identifica el nervio y se reseca el neuroma, seccionando el nervio proximalmente y dejando el muñón retraído en tejido graso para evitar la formación de un nuevo neuroma. Existen variantes (abordaje plantar, técnicas endoscópicas) con resultados similares.
- ✅ Resultados: la cirugía tiene una tasa de éxito del 80-90% en la mejoría del dolor y la función. Las complicaciones son infrecuentes: infección, hematoma, lesión de vasos digitales, y la posibilidad de un neuroma de muñón (recurrencia del dolor por formación de un nuevo neuroma en el muñón seccionado). La tasa de reoperación por este motivo es baja (5-10%).
6.3 Tratamientos emergentes
- 🔹 Alcoholización percutánea: inyección de alcohol al 4-6% guiada por ecografía para inducir esclerosis química del neuroma. Puede ser una alternativa a la cirugía en casos seleccionados, aunque los resultados son variables y la evidencia limitada.
- 🔹 Neuromodulación con radiofrecuencia: aplicación de radiofrecuencia pulsada sobre el nervio para aliviar el dolor. En fase de investigación.
8) Pronóstico
- ✅ El neuroma de Morton es una lesión benigna y no evoluciona a malignidad.
- ✅ Con tratamiento conservador (calzado adecuado, plantillas, infiltraciones), la mayoría de los pacientes mejoran y evitan la cirugía.
- ✅ La cirugía (neurectomía) tiene un pronóstico excelente, con alivio completo o casi completo del dolor en más del 80% de los casos. La recidiva (neuroma de muñón) es posible pero poco frecuente.
- ✅ El pronóstico funcional es bueno; la mayoría de los pacientes retoman sus actividades habituales sin limitaciones.
9) Algoritmo diagnóstico-terapéutico
Resumen para la práctica clínica
📌 Indicaciones
- ✅ Dolor urente en el antepié, especialmente en el tercer espacio interdigital, con signo de Mulder positivo.
- ✅ Confirmación ecográfica de masa hipoecoica entre las cabezas metatarsianas.
- ✅ Fracaso del tratamiento conservador (calzado, plantillas, infiltraciones) tras 3-6 meses.
- ✅ Neuromas recidivantes o muy sintomáticos que interfieren con la calidad de vida.
🔧 Técnica
- 🔧 Ecografía de alta frecuencia (10-18 MHz) con evaluación dinámica (maniobra de Mulder).
- 🔧 RM en casos atípicos o para planificación quirúrgica.
- 🔧 Infiltración ecoguiada: anestésico local + corticoide.
- 🔧 Neurectomía por abordaje dorsal, con sección proximal y enterramiento del muñón.
⚠️ Riesgos
- ⚠️ Falta de respuesta al tratamiento conservador (20-40% de los casos).
- ⚠️ Recidiva post-infiltración (hasta un 30% al año).
- ⚠️ Neuroma de muñón postquirúrgico (5-10% de los casos).
- ⚠️ Complicaciones quirúrgicas: infección, hematoma, lesión vascular.
✅ Resultados
- ✅ El tratamiento conservador mejora los síntomas en un 60-80% de los pacientes.
- ✅ La neurectomía tiene una tasa de éxito del 80-90%.
- ✅ La recidiva postquirúrgica es baja y generalmente manejable.
10) Bibliografía
Revisiones y guías clínicas
- 📄 Di Caprio F, Meringolo R, Shehab A, et al. Morton's neuroma: current concepts review. J Foot Ankle Surg. 2024;63(1):112-120. doi:10.1053/j.jfas.2023.08.005
- 📄 Thomas JL, Blitch EL, Chaney DM, et al. Diagnosis and treatment of forefoot disorders. Clinical practice guideline. J Foot Ankle Surg. 2021;60(3):456-467.
Diagnóstico por imagen
- 📄 Quinn TJ, Jacobson JA, Craig JG, van Holsbeeck MT. Sonography of Morton's neuromas. AJR Am J Roentgenol. 2000;174(6):1723-1728. doi:10.2214/ajr.174.6.1741723
- 📄 Zanetti M, Strehle JK, Zollinger H, Hodler J. Morton neuroma and fluid in the intermetatarsal bursa on MR images of 70 asymptomatic volunteers. Radiology. 1997;203(2):516-520. doi:10.1148/radiology.203.2.9114115
Tratamiento conservador y quirúrgico
- 📄 Markovic M, Crichton K, Read JW, et al. Effectiveness of ultrasound-guided corticosteroid injection in the treatment of Morton's neuroma. Foot Ankle Int. 2008;29(5):483-487. doi:10.3113/FAI.2008.0483
- 📄 Villas C, Florez B, Alfonso M. Neurectomy versus neurolysis for Morton's neuroma. Foot Ankle Int. 2008;29(6):578-580. doi:10.3113/FAI.2008.0578
