Perineurioma — Actualización 2026: tumor benigno de células perineurales, formas intraneural y extraneural
El perineurioma es un tumor benigno poco frecuente, derivado de las células perineurales, que constituyen la vaina perineural que envuelve los fascículos nerviosos. Se presenta en dos formas clínicas y anatomopatológicas principales: el perineurioma intraneural, que crece dentro de un nervio y produce una neuropatía focal progresiva, y el perineurioma extraneural (o de partes blandas), que aparece como una masa bien delimitada en tejidos blandos sin relación directa con un tronco nervioso. Ambas variantes comparten un perfil inmunohistoquímico característico (expresión de EMA, claudina-1 y GLUT1) y un comportamiento benigno, con excelente pronóstico tras resección completa. Su importancia clínica radica en el diagnóstico diferencial con otras lesiones neurales (schwannoma, neurofibroma) y con tumores de partes blandas, ya que el manejo y el pronóstico son diferentes. Esta ficha, actualizada a 2026, desarrolla de manera sistemática la epidemiología, clínica, diagnóstico por imagen, histopatología, inmunohistoquímica, genética molecular, diagnóstico diferencial, opciones terapéuticas y pronóstico del perineurioma.
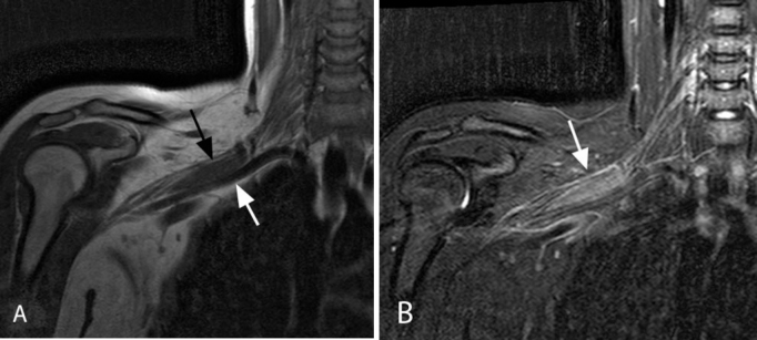
Hallazgo radiológico característico
0) En 1 minuto
- ✅ Qué es: El perineurioma es un tumor benigno de células perineurales. Se presenta en dos formas: intraneural (dentro del nervio) y extraneural (de partes blandas).
- ✅ Clínica típica:
- 🔹 Intraneural: neuropatía focal progresiva, con debilidad y atrofia en el territorio del nervio afectado (a menudo ciático poplíteo externo, cubital, mediano). Dolor variable.
- 🔹 Extraneural: masa de tejidos blandos, bien delimitada, indolora, de crecimiento lento, típicamente en extremidades o tronco.
- ✅ Imagen clave:
- 🔹 Intraneural: RM: engrosamiento fusiforme del nervio, con señal iso-hipointensa en T1, hiperintensa en T2 y realce tras contraste.
- 🔹 Extraneural: RM: masa bien delimitada, con señal similar al músculo, realce variable.
- ✅ Diagnóstico: La confirmación es histológica e inmunohistoquímica. El perfil IHQ es clave: EMA+, claudina-1+, GLUT1+; S100 negativo (o muy focal en fibras nerviosas atrapadas).
- ✅ Tratamiento:
- 🔹 Intraneural: resección quirúrgica con preservación fascicular si es posible; a veces se opta por neurólisis o incluso observación si la clínica es leve.
- 🔹 Extraneural: resección marginal completa. Recidiva excepcional si se extirpa por completo.
- ✅ Pronóstico: Excelente. No metastatiza. La forma intraneural puede dejar secuelas neurológicas si se reseca el nervio, pero el tumor en sí no recidiva tras resección completa.
Pitfall: El error más grave es confundir un perineurioma intraneural con un schwannoma o un neurofibroma. La presentación clínica (neuropatía progresiva sin masa palpable) y la IHQ (EMA+, S100-) son las claves. Un diagnóstico erróneo puede llevar a una cirugía inadecuada (intentar enuclear un perineurioma como si fuera un schwannoma, con el consiguiente daño neurológico).
1) Conceptos generales
1.1 Definición y origen
El perineurioma es un tumor benigno compuesto por células perineurales, que normalmente forman la vaina perineural (la capa de tejido conectivo especializado que envuelve cada fascículo nervioso). Estas células tienen características de miofibroblastos y expresan marcadores como EMA, claudina-1 y GLUT1. Se reconocen dos variantes principales:
- 🔹 Perineurioma intraneural: se origina dentro del nervio, rodeando y comprimiendo los fascículos. Produce una neuropatía focal progresiva.
- 🔹 Perineurioma extraneural (de partes blandas): se origina fuera del nervio, como una masa de tejidos blandos sin relación aparente con un tronco nervioso.
Ambas variantes son histológicamente idénticas y comparten el mismo perfil inmunohistoquímico.
1.2 Epidemiología
- 📈 Frecuencia: Tumor raro. Se han publicado menos de 200 casos en la literatura mundial, aunque probablemente está infradiagnosticado.
- 📈 Edad: Amplio rango (niños a adultos mayores), con un pico en adultos jóvenes y de mediana edad (20-50 años).
- 📈 Sexo: Ligero predominio femenino en la forma intraneural; similar en la extraneural.
- 📈 Localización:
- 🔹 Intraneural: nervios de extremidades (ciático, ciático poplíteo externo, cubital, mediano) y nervios craneales (trigémino, acústico) son los más frecuentes.
- 🔹 Extraneural: tejido subcutáneo o profundo de extremidades, tronco, cabeza y cuello.
2) Perineurioma intraneural
2.1 Clínica
- 🔹 Síntoma principal: neuropatía focal progresiva, que se manifiesta como debilidad, atrofia muscular y, en ocasiones, parestesias en el territorio del nervio afectado. El dolor es infrecuente o leve.
- 🔹 Evolución: lenta, durante meses o años. Puede simular una atrapamiento nervioso o una neuropatía hereditaria.
- 🔹 Exploración: en fases avanzadas, puede palparse un engrosamiento fusiforme del nervio, pero a menudo no hay masa palpable evidente. El signo de Tinel puede estar presente.
- 🔹 Electromiografía (EMG): muestra signos de denervación crónica en los músculos inervados por el nervio afectado, con velocidades de conducción disminuidas focalmente.
2.2 Imagen
- 🔹 RM: es la técnica de elección. Muestra un engrosamiento fusiforme del nervio afectado, que puede medir varios centímetros de longitud. La señal es iso-hipointensa en T1 respecto al músculo, hiperintensa en T2/STIR y presenta realce homogéneo tras contraste.
- 🔹 Ecografía: puede mostrar un nervio engrosado, hipoecoico, con pérdida de la arquitectura fascicular normal.
- 🔹 Neurografía por RM: útil para planificar la cirugía y delimitar la extensión del tumor.
RM representativa de perineurioma
3) Perineurioma extraneural (de partes blandas)
3.1 Clínica
- 🔹 Presentación: masa de tejidos blandos, generalmente solitaria, de crecimiento lento, indolora o con molestias leves.
- 🔹 Localización típica: tejido subcutáneo o intramuscular de extremidades (sobre todo en muslo y pierna), tronco y cabeza y cuello.
- 🔹 Tamaño: variable, desde menos de 1 cm hasta más de 10 cm.
- 🔹 Exploración: masa firme, bien delimitada, móvil, no dolorosa a la palpación.
3.2 Imagen
- 🔹 RM: masa bien delimitada, con señal similar al músculo en T1, hiperintensa en T2/STIR, y realce homogéneo o heterogéneo tras contraste. Puede tener un patrón laminar o en remolino.
- 🔹 Ecografía: masa sólida, hipoecoica, bien definida, a veces con refuerzo posterior.
- 🔹 Diagnóstico diferencial: con otros tumores de partes blandas (lipoma, fibroma, tumor fibroso solitario, etc.).
6) Histopatología
4.1 Macroscopía
- 🔹 Intraneural: el nervio afectado muestra un engrosamiento fusiforme, con una masa sólida, blanquecina o grisácea, que respeta los fascículos en la periferia pero los comprime.
- 🔹 Extraneural: nódulo bien delimitado, de color blanco-amarillento, de consistencia firme, a veces con áreas mixoides.
4.2 Microscopía
- 🔹 Proliferación de células fusiformes alargadas, con citoplasma pálido y núcleos ondulados, dispuestas en fascículos cortos o en remolinos, a menudo formando estructuras concéntricas alrededor de los vasos (patrón en "bulbo de cebolla").
- 🔹 El estroma es colágeno o mixoide. No hay atipia nuclear significativa, y las mitosis son escasas o ausentes.
- 🔹 En la forma intraneural, los fascículos nerviosos residuales aparecen atrapados dentro del tumor, pero no hay infiltración destructiva.
7) Inmunohistoquímica (clave diagnóstica)
El perfil inmunohistoquímico es diagnóstico y permite diferenciar el perineurioma de otros tumores de la vaina nerviosa.
| Marcador | Expresión | Comentario |
|---|---|---|
| EMA (epithelial membrane antigen) | + (difuso, membrana) | Marcador más sensible y específico para células perineurales. |
| Claudina-1 | + (membrana) | Muy útil, refuerza el diagnóstico. |
| GLUT1 | + (membrana) | También positivo en perineurioma, pero menos específico. |
| S100 | - (o muy focal en fibras nerviosas atrapadas) | Negatividad clave para diferenciar de schwannoma y neurofibroma. |
| CD34 | - / variable | Puede ser positivo en el estroma, no en células tumorales. |
| SOX10 | - | Apoya el diagnóstico. |
8) Genética molecular
- 🔹 El perineurioma esporádico suele mostrar deleciones del cromosoma 22q, que afectan al gen NF2. Esta alteración es similar a la observada en schwannomas y meningiomas.
- 🔹 No se han descrito translocaciones específicas ni otras alteraciones recurrentes.
- 🔹 La genética no es necesaria para el diagnóstico de rutina, pero puede ser útil en casos atípicos.
9) Diagnóstico diferencial
| Entidad | Clave diferencial |
|---|---|
| Schwannoma | Encapsulado, excéntrico; S100+ difuso; EMA-. |
| Neurofibroma | No encapsulado, infiltrante; S10+ variable, CD34+ estromal; EMA-. |
| Meningioma (extracraneal) | EMA+; pero también S100+ a veces; presencia de psammomas; historia clínica. |
| Tumor fibroso solitario | STAT6+; CD34+ difuso; EMA-. |
| Fibromatosis | β-catenina nuclear +; infiltrativa, sin patrón en remolinos perivasculares. |
10) Tratamiento
8.1 Perineurioma intraneural
- ✅ Observación: si el déficit neurológico es leve y estable, puede optarse por seguimiento clínico y con RM.
- ✅ Cirugía: indicada en casos de empeoramiento progresivo o déficit importante. El objetivo es la resección completa del tumor con preservación de los fascículos funcionales. La técnica es compleja y debe realizarse en centros con experiencia en cirugía de nervio periférico. A menudo se requiere una neurólisis interfascicular o incluso la resección del segmento afectado y reconstrucción con injerto nervioso si el tumor es muy extenso.
- ✅ Resultados: la resección completa evita la recidiva, pero puede dejar secuelas neurológicas. La neurólisis puede mejorar la función.
8.2 Perineurioma extraneural
- ✅ Cirugía: resección marginal completa (enucleación) es el tratamiento de elección. La recidiva es excepcional si los márgenes son negativos.
- ✅ Seguimiento: clínico. No se requieren pruebas de imagen de rutina en ausencia de síntomas.
11) Pronóstico
- ✅ El perineurioma es un tumor benigno, sin potencial metastásico.
- ✅ Recidiva local: prácticamente nula tras resección completa en la forma extraneural. En la forma intraneural, la recidiva es rara si se reseca completamente, pero la morbilidad neurológica postoperatoria es la principal preocupación.
- ✅ Calidad de vida: depende del déficit neurológico previo y del resultado quirúrgico. La mayoría de los pacientes con perineurioma extraneural tienen una vida normal.
12) Algoritmo diagnóstico
Resumen para la práctica clínica
📌 Indicaciones
- ✅ Neuropatía focal progresiva sin causa aparente (RM y biopsia).
- ✅ Masa de partes blandas bien delimitada con sospecha de perineurioma extraneural.
- ✅ Confirmación diagnóstica mediante IHQ (EMA, claudina-1, GLUT1).
🔧 Técnica
- 🔧 RM con contraste: técnica de elección para caracterización y planificación quirúrgica.
- 🔧 Biopsia core needle guiada por imagen (ecografía/RM) con trayecto excindible.
- 🔧 Panel IHQ: EMA, claudina-1, GLUT1, S100, SOX10, CD34.
⚠️ Riesgos
- ⚠️ Confundir perineurioma con schwannoma o neurofibroma y realizar cirugía inadecuada.
- ⚠️ Lesión neurológica iatrogénica en la resección de perineurioma intraneural.
- ⚠️ Infradiagnóstico por falta de estudio IHQ completo.
✅ Resultados
- ✅ Resección completa: curación en la forma extraneural.
- ✅ En la forma intraneural, el pronóstico funcional depende del déficit prequirúrgico y la técnica quirúrgica.
- ✅ Recidiva local excepcional tras resección completa.
13) Bibliografía
Clasificación y series clínicas
- 📄 WHO Classification of Tumours Editorial Board. WHO Classification of Tumours of Soft Tissue and Bone. 5th ed. Lyon: IARC Press; 2020. (Capítulo: Perineurioma).
- 📄 Hornick JL, Fletcher CD. Soft tissue perineurioma: clinicopathologic analysis of 81 cases. Am J Surg Pathol. 2005;29(7):845-858.
- 📄 Boyanton BL, Jones JK, Shenaq SM, et al. Intraneural perineurioma: a systematic review of 104 cases. J Neurosurg. 2007;107(3):546-553.
Inmunohistoquímica y genética
- 📄 Folpe AL, Billings SD, McKenney JK, et al. Expression of claudin-1, a marker of epithelial differentiation, in perineuriomas and other nerve sheath tumors. Am J Surg Pathol. 2002;26(7):889-897.
- 📄 Pina-Oviedo S, Ortiz-Hidalgo C. GLUT1 and claudin-1 expression in perineurioma: a diagnostic immunohistochemical panel. J Cutan Pathol. 2008;35(12):1095-1100.
Imagen
- 📄 Simmons M, Caird J, Fanning N. Intraneural perineurioma: a review of the literature and illustrative case. Ir J Med Sci. 2022;191(3):1255-1261. doi:10.1007/s11845-021-02681-x
