🩸 Sinovitis Vellonodular Pigmentada (SVNP) — Actualización 2026: forma difusa de tumor de células gigantes sinovial, con tendencia a la invasión ósea y a la recidiva local
La sinovitis vellonodular pigmentada (SVNP) es una proliferación benigna pero localmente agresiva de la membrana sinovial, caracterizada por la formación de vellosidades y nódulos de color pardo-amarillento, con infiltrado de histiocitos, células espumosas, depósitos de hemosiderina y células gigantes multinucleadas. Afecta típicamente a adultos jóvenes (15-50 años), sin predominio de sexo, y se localiza más frecuentemente en la rodilla, seguida de cadera, tobillo y hombro. Puede presentarse en dos formas: **difusa** (afectación de toda la sinovial) y **localizada** (nódulo único intraarticular). La forma difusa es la más agresiva, con capacidad de invadir el hueso subcondral, provocando quistes y erosiones. La Actualización 2026 enfatiza el papel de la RM en el diagnóstico (hipointensidad en T2 por hemosiderina), la importancia de la sinovectomía quirúrgica completa (difícil de lograr), y el papel de la sinoviortesis (radiosinoviortesis) como tratamiento adyuvante para reducir las recidivas. El pronóstico está marcado por una alta tasa de recidiva local (30-50% en formas difusas), especialmente si la resección es incompleta.
0) En 1 minuto
- ✅ Qué es: La sinovitis vellonodular pigmentada (SVNP) es una proliferación benigna de la sinovial (articular, bursal o tendinosa), caracterizada por depósitos de hemosiderina y células gigantes. Puede ser difusa (toda la sinovial) o localizada (nódulo único).
- ✅ Clínica típica: Monoartritis crónica de crecimiento lento, con dolor, tumefacción y derrame articular (líquido hemático). Afecta a adultos jóvenes, más frecuente en rodilla. Síntomas de larga evolución (meses a años).
- ✅ Imagen clave: RM es la técnica de elección. Masa sinovial con áreas de hipointensidad marcada en T2 (por hemosiderina) y realce de la cápsula y septos tras contraste. Erosiones óseas bilaterales con borde escleroso en radiografía.
- ✅ Histología: Proliferación de vellosidades sinoviales cubiertas por células sinoviales hipertróficas con hemosiderina. Estroma con histiocitos epiteloides, células espumosas, células gigantes multinucleadas y depósitos de hemosiderina.
- ✅ Tratamiento: Sinovectomía quirúrgica (abierta o artroscópica) es el pilar. Es difícil lograr una resección completa. La sinoviortesis (radiosinoviortesis con itrio-90, disprosio-165, etc.) se utiliza como tratamiento adyuvante para reducir la recidiva. En cadera con destrucción ósea, puede requerirse prótesis total.
Pitfall: El error más grave es no considerar el diagnóstico de SVNP en una monoartritis crónica de rodilla con líquido hemático, confundiéndola con artritis reumatoide, hemofilia o artrosis. La RM es clave para el diagnóstico (hipointensidad en T2 por hemosiderina). Otro error es infraestimar la agresividad local de la forma difusa, que puede invadir el hueso y recidivar si la sinovectomía es incompleta. En la cadera, la sinovectomía aislada tiene alta tasa de fracaso, por lo que a menudo se requiere prótesis total.
1) Conceptos
1.1 Definición y formas de presentación
La sinovitis vellonodular pigmentada (SVNP) es una proliferación benigna de la membrana sinovial, caracterizada por:
- 🔹 Formación de vellosidades delicadas de color amarillento-marrón.
- 🔹 Presencia de nódulos lobulados, redondeados u ovoides, pediculados o sésiles, del mismo color.
- 🔹 Infiltrado por histiocitos, células espumosas (xantomatosas), células con hemosiderina y células gigantes multinucleadas.
Se distinguen dos formas principales:
- 🔹 Forma difusa (sinovitis vellonodular pigmentada difusa): Afecta a toda la sinovial articular, bursal o tendinosa. Es la forma más agresiva, con tendencia a invadir el hueso subcondral y a recidivar.
- 🔹 Forma localizada (sinovitis vellonodular pigmentada localizada o tumor de células gigantes pigmentado de la articulación): Se presenta como una masa polipoide o nódulo único unido a la sinovial. Tiene mejor pronóstico.
Cuando afecta a la vaina tendinosa, se denomina tumor de células gigantes localizado de la vaina del tendón (ya tratado en la página anterior).
1.2 Etiopatogenia
La etiología de la SVNP es controvertida. Se han propuesto varias teorías:
- 🔹 Origen inflamatorio/reactivo: Relacionado con traumatismos repetidos, hemorragias intraarticulares o procesos autoinmunes.
- 🔹 Origen neoplásico benigno: Actualmente, los estudios citogenéticos apoyan esta teoría, demostrando alteraciones cromosómicas clonales (reordenamientos del gen CSF1) que sugieren una neoplasia benigna de estirpe histiocítica.
1.3 Epidemiología
- 📈 Frecuencia: Enfermedad rara. La forma difusa representa aproximadamente el 23% de los casos de SVNP.
- 📈 Edad: Adultos jóvenes, entre 15 y 52 años (media 30-40 años).
- 📈 Sexo: Sin predominio claro.
- 📈 Localización (por orden de frecuencia):
- 🔹 Rodilla (la más frecuente, >50% de los casos).
- 🔹 Cadera (a menudo con destrucción ósea importante).
- 🔹 Tobillo, muñeca, codo, hombro.
1.4 Puntos prácticos (Actualización 2026)
- 💡 La RM es diagnóstica en la mayoría de los casos: La presencia de hipointensidad en T2 (por hemosiderina) en una masa sinovial es altamente sugestiva de SVNP. Rara vez se necesita artroscopia diagnóstica.
- 💡 Invasión ósea característica: La SVNP difusa tiende a invadir el hueso subcondral en los márgenes osteocartilaginosos (inserción de la cápsula), produciendo quistes y erosiones con borde escleroso.
- 💡 Sinovectomía completa es difícil: En la forma difusa, la resección completa de toda la sinovial afectada es técnicamente difícil, lo que explica la alta tasa de recidiva (30-50%).
- 💡 Sinoviortesis como adyuvante: Para reducir las recidivas, se recomienda la sinoviortesis (radiosinoviortesis con itrio-90, disprosio-165, renio-186) entre 1 y 3 meses después de la sinovectomía quirúrgica. Los resultados son aparentemente similares a los obtenidos con ácido ósmico, pero se prefiere evitar este último en menores de 40 años.
- 💡 Cadera: mal pronóstico con sinovectomía sola: La sinovectomía en la cadera tiene alta tasa de fracaso debido a la dificultad técnica y la frecuente destrucción ósea. Se recomienda la artroplastia total de cadera en estos casos.
2) Clínica
| Síntoma/Signo | Frecuencia | Comentario clínico |
|---|---|---|
| Dolor y tumefacción | >90% | Insidioso, progresivo. Inicialmente puede tener brotes intermitentes, luego se vuelve crónico. |
| Derrame articular | Frecuente | Líquido hemático (característico, aunque no patognomónico). |
| Masa palpable | Variable | En formas localizadas o avanzadas, puede palparse una masa. |
| Bloqueo articular / cuerpos libres | Ocasional | En formas localizadas con nódulos pediculados. |
| Duración de los síntomas | Larga | De 6 meses a más de 25 años (media 3-5 años). |
3) Estudios de imagen
3.1 Radiografía simple
- 🔹 Aumento de densidad intraarticular: Presente en 2/3 de los casos. No solo por derrame, sino por las masas sinoviales.
- 🔹 Erosiones óseas: Características. Son quistes o geodas de diferentes tamaños, con borde escleroso, que se sitúan a ambos lados de la articulación (importante: no son unilaterales). Pueden simular un tumor óseo primario.
- 🔹 Espacio articular conservado: Hasta estadios finales (a diferencia de la artrosis).
- 🔹 Calcificaciones: Ocasionales, poco frecuentes.
- 🔹 Ausencia de osteoporosis periarticular (a diferencia de la artritis reumatoide).
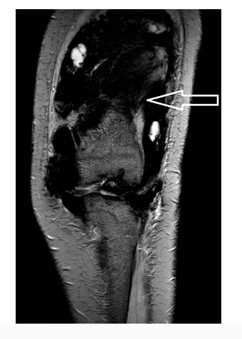
3.2 Resonancia magnética (RM) - Técnica de elección
- 🔹 Hallazgo clave: depósitos de hemosiderina que causan hipointensidad marcada en secuencias T2 y eco de gradiente (GRE) (por efecto de susceptibilidad magnética). Este hallazgo es altamente sugestivo de SVNP.
- 🔹 T1: Masas sinoviales de señal intermedia (similar al músculo).
- 🔹 T2: Combinación de áreas de alta señal (sinovial congestionada, líquido) y áreas de señal media-baja (depósitos de hemosiderina).
- 🔹 Tras contraste (gadolinio): Realce de la cápsula sinovial y de los septos. Las masas sinoviales pueden realzar de forma heterogénea.
- 🔹 La RM es lo suficientemente fiable para el diagnóstico, raramente necesitándose artroscopia diagnóstica.
Hallazgo radiológico característico
3.3 Otras técnicas
- 🔹 TC: Demuestra la extensión real de la enfermedad y las erosiones óseas, pero es inferior a la RM para caracterizar las masas sinoviales y la hemosiderina.
- 🔹 Artrografía: Muestra múltiples masas lobuladas con proyecciones vellosas (obsoleta, solo interés histórico).
4) Histopatología
4.1 Macroscopía
- 🔹 Coloración: Extensas áreas de color marrón o rojizo (por hemosiderina).
- 🔹 Aspecto: Filamentoso velloso (vellosidades delicadas) alternando con áreas de membrana sinovial lisa del mismo color y nódulos lobulados.
- 🔹 Invasión ósea: Cuando ocurre, suele ser cerca de la inserción de la cápsula sinovial (márgenes osteocartilaginosos).
4.2 Microscopía
- 🔹 Vellosidades sinoviales: Cubiertas por una o varias capas de células sinoviales hipertróficas que contienen hemosiderina en grandes cantidades.
- 🔹 Centro de las vellosidades: Numerosos vasos sanguíneos y denso infiltrado de células plasmáticas, linfocitos y un número variable de células gigantes multinucleadas.
- 🔹 Estroma de los nódulos: Cantidad variable de colágeno y grandes histiocitos epiteloides que contienen hemosiderina y lípidos (células espumosas o xantomatosas).
- 🔹 Células gigantes multinucleadas: Presentes entre los histiocitos.
- 🔹 Mitosis: Ocasionalmente se observan mitosis en las células del estroma y sinoviales, sin que ello implique malignidad.
4.3 Microscopía electrónica
Demuestra dos tipos de histiocitos:
- 🔹 Fibroblastos: Productores de colágeno y proteoglicanos.
- 🔹 Macrófagos: Contienen hemosiderina y lípidos.
5) Diagnóstico y diagnóstico diferencial
Confirmación diagnóstica: La combinación de hallazgos clínicos (monoartritis crónica de rodilla en adulto joven, líquido hemático) y de RM (masas sinoviales con hipointensidad en T2 por hemosiderina) es altamente sugestiva. El diagnóstico definitivo se confirma mediante el estudio histopatológico de la sinovial obtenida por biopsia (artroscópica o abierta) o tras sinovectomía.
Diagnóstico diferencial:
🩻 Radiológico (clínico-radiológico)
- 🔹 Artritis reumatoide: Difícil diferenciación. En AR hay osteoporosis periarticular, ausencia de depósitos de hemosiderina en RM, y las erosiones son por panus sinovial. La AR suele ser poliarticular.
- 🔹 Condromatosis sinovial: Presencia de múltiples cuerpos articulares (calcificados o no calcificados). Las erosiones óseas pueden ser similares.
- 🔹 Hemangioma sinovial: Presencia de flebolitos, ausencia de depósitos de hemosiderina.
- 🔹 Sarcoma sinovial: RM con diferente patrón (masa heterogénea, septos, calcificaciones en 30%). Más infiltrativo. En casos tardíos aparecen calcificaciones.
- 🔹 Hemofilia: Artropatía hemofílica, generalmente poliarticular, con historia clínica de diátesis hemorrágica.
- 🔹 Lipoma arborescente: RM con señal de grasa, muy poco realce con gadolinio.
- 🔹 Artritis tuberculosa: Osteoporosis yuxtaarticular importante (no presente en SVNP), atrofia muscular, síntomas sistémicos.
- 🔹 Artrosis: Edad más avanzada, estrechamiento del espacio articular, osteofitos, ausencia de masas sinoviales.
🔬 Patológico
- 🔹 Artritis reumatoide: Hipertrofia sinovial y proliferación de vellosidades, pero menos prominentes, y ausencia de depósitos de hemosiderina en las vellosidades.
- 🔹 Hemofilia: Depósitos de hemosiderina confinados a las células que recubren la sinovial, pero ausentes en el tejido subsinovial (a diferencia de SVNP, donde los depósitos son extensos en toda la lesión).
- 🔹 Tumor de células gigantes de partes blandas: Puede tener células gigantes, pero carece del componente sinovial velloso y de la distribución difusa.
6) Tratamiento
Premisa fundamental: No hay unanimidad en el tratamiento, pero la mayoría de los autores recomiendan la sinovectomía quirúrgica como pilar, combinada con sinoviortesis adyuvante para reducir las recidivas.
6.1 Sinovectomía quirúrgica
- ✅ Objetivo: Resecar la máxima cantidad posible de tejido sinovial afectado.
- ✅ Vías de abordaje: Puede ser artroscópica (menos invasiva, preferible en rodilla y otras articulaciones) o abierta (permite una resección más completa, especialmente en formas difusas extensas).
- ✅ Dificultad: En la forma difusa, es muy difícil lograr una sinovectomía completa, lo que explica la alta tasa de recidiva.
- ✅ Cadera: La sinovectomía tiene alta tasa de fracaso, por lo que se recomienda artroplastia total de cadera (prótesis) cuando hay destrucción ósea importante.
6.2 Sinoviortesis (radiosinoviortesis)
- ✅ Indicación: Adyuvante a la sinovectomía, para tratar los restos microscópicos y reducir la tasa de recidiva.
- ✅ Técnica: Inyección intraarticular de radioisótopos emisores beta:
- 🔹 Itrio-90 (⁹⁰Y): Para articulaciones grandes (rodilla).
- 🔹 Disprosio-165 (¹⁶⁵Dy) o Renio-186 (¹⁸⁶Re): Para articulaciones medianas.
- ✅ Momento de aplicación: Entre 1 y 3 meses después de la sinovectomía quirúrgica.
- ✅ Resultados: Aparentemente similares a los obtenidos con ácido ósmico (sinoviortesis química), pero se prefiere evitar el ácido ósmico en menores de 40 años.
6.3 Radioterapia externa
- 🔹 En dosis moderadas, puede brindar resultados satisfactorios en casos de enfermedad residual o irresecable, pero se asocia a mayor morbilidad (fibrosis, rigidez). Actualmente, la sinoviortesis es preferible.
| Localización / Forma | Tratamiento | Comentario |
|---|---|---|
| Rodilla / forma difusa | Sinovectomía (artroscópica o abierta) + sinoviortesis adyuvante (⁹⁰Y). | Alta tasa de recidiva si sinovectomía incompleta (30-50%). |
| Rodilla / forma localizada | Excisión artroscópica del nódulo. | Mejor pronóstico. |
| Cadera | Artroplastia total de cadera (prótesis). | Sinovectomía tiene alta tasa de fracaso. Destrucción ósea frecuente. |
| Otras articulaciones | Sinovectomía ± sinoviortesis. | Individualizar según extensión y posibilidad técnica. |
7) Pronóstico
- ✅ Pronóstico general: La SVNP es una enfermedad benigna, pero localmente agresiva y con tendencia a la recidiva. No metastatiza.
- ✅ Recidiva local: La tasa de recidiva en formas difusas tratadas con sinovectomía sola es del 30-50%. La sinoviortesis adyuvante reduce esta tasa.
- ✅ Invasión ósea: Frecuente en formas difusas de larga evolución, especialmente en cadera. Puede provocar destrucción articular severa.
- ✅ Transformación maligna: Extremadamente rara. Se han descrito casos aislados, pero no es la regla.
8) Algoritmo de manejo
Resumen para la práctica clínica
📌 Indicaciones
- ✅ Sinovectomía quirúrgica (artroscópica o abierta) en sinovitis vellonodular pigmentada difusa.
- ✅ Sinoviortesis (radiosinoviortesis con itrio-90) como tratamiento adyuvante tras sinovectomía para reducir la recidiva.
- ✅ Artroplastia total de cadera en casos de SVNP de cadera con destrucción ósea significativa.
🔧 Técnica
- 🔧 Sinovectomía: resección de la mayor cantidad posible de sinovial afectada. Abordaje artroscópico preferible en rodilla.
- 🔧 Sinoviortesis: inyección intraarticular de ⁹⁰Y (rodilla) u otros radioisótopos entre 1 y 3 meses post-cirugía.
- 🔧 Prótesis de cadera: técnica convencional, con resección de la sinovial patológica.
⚠️ Riesgos
- ⚠️ Recidiva local (30-50% en formas difusas tratadas solo con sinovectomía).
- ⚠️ Destrucción ósea progresiva si no se controla la enfermedad.
- ⚠️ Rigidez articular postoperatoria.
- ⚠️ Complicaciones de la sinoviortesis (reacción inflamatoria transitoria, necrosis cutánea por extravasación).
- ⚠️ Infección, fracaso protésico (en cadera).
✅ Resultados
- ✅ Tasa de control local variable: 50-70% con sinovectomía sola, mejor con sinoviortesis adyuvante.
- ✅ Buen resultado funcional en rodilla si se controla la enfermedad.
- ✅ Excelente resultado con prótesis de cadera a largo plazo.
9) Bibliografía
Referencias clave
- 📄 WHO Classification of Tumours Editorial Board. WHO Classification of Tumours of Soft Tissue and Bone. 5th ed. Lyon: IARC Press; 2020. (Incluye el tumor de células gigantes tenosinovial, forma difusa).
- 📄 Flandry F, Hughston JC. Current concepts review: pigmented villonodular synovitis. J Bone Joint Surg Am. 1987;69(6):942-949.
- 📄 Sciot R, Rosai J, Dal Cin P, et al. Analysis of 35 cases of localized and diffuse tenosynovial giant cell tumor: a report from the Chromosomes and Morphology (CHAMP) study group. Mod Pathol. 1999;12(6):576-579.
- 📄 Ogilvie-Harris DJ, McLean J, Zarnett ME. Pigmented villonodular synovitis of the knee: the results of total arthroscopic synovectomy, partial arthroscopic synovectomy, and radiation therapy. Arthroscopy. 1992;8(3):326-332.
Diagnóstico por imagen
- 📄 Hughes TH, Sartoris DJ, Schweitzer ME, Resnick D. Pigmented villonodular synovitis: MRI characteristics. Skeletal Radiol. 1995;24(1):7-12.
Tratamiento
- 📄 Kampen WU, Voth M, Pinkert J, Krause A. Therapeutic status of radiosynoviorthesis of the knee with yttrium-90 in patients with pigmented villonodular synovitis. Nuklearmedizin. 2007;46(3):101-106.
- 📄 Gonzalvo A, Smith G, Barrett I, et al. Pigmented villonodular synovitis of the hip: a review of the hip arthroplasty experience. J Arthroplasty. 2011;26(6):930-935.
