Elastofibroma Dorsi: un pseudotumor benigno que no debe confundirse con sarcoma
El elastofibroma dorsi es una proliferación fibrosa benigna, no una neoplasia verdadera, que se presenta como una masa característica en la región infraescapular. Aunque su nombre sugiere un tumor, actualmente se le considera más bien una reacción fibroblástica inusual o un pseudotumor reactivo. Su importancia clínica radica en que, debido a su localización y a que puede palparse como una masa firme, a menudo genera sospecha de malignidad, especialmente en pacientes mayores. Sin embargo, conocer sus rasgos distintivos permite un diagnóstico seguro mediante imagen y evita procedimientos invasivos innecesarios.
1) Definición y naturaleza del elastofibroma: un pseudotumor
Descrito por primera vez por Järvi y Saxen en 1961, el elastofibroma dorsi se define como una lesión benigna, no encapsulada, de crecimiento lento, compuesta por una proliferación desordenada de fibras de colágeno, tejido adiposo maduro y, de manera característica, fibras elásticas aberrantes o degeneradas. Estas fibras elásticas anómalas son el sello histológico de la entidad. A diferencia de un sarcoma, no muestra atipia celular, mitosis atípicas ni capacidad infiltrativa agresiva.
Un debate conceptual resuelto:
La evidencia actual, incluyendo estudios inmunohistoquímicos y genéticos, apoya firmemente que se trata de una proliferación fibroblástica reactiva clonal, probablemente desencadenada por microtraumatismos repetitivos. Por lo tanto, el término pseudotumor es el más apropiado. Esta distinción es tranquilizadora: no hay riesgo de transformación maligna y el comportamiento clínico es siempre benigno.
2) Epidemiología: quién, dónde y con qué frecuencia
Demografía característica
- • Edad: Típico de adultos de mediana y avanzada edad, pico entre 50 y 70 años.
- • Sexo: Predominio abrumador en mujeres (hasta 90%).
- • Localización clásica: Espacio subescapular (entre pared torácica y borde inferior de la escápula).
- • Bilateralidad: Común (hasta 60%), a menudo asimétrica.
Frecuencia real
Estudios de autopsia y series de imagen revelan una prevalencia alta en la población mayor (hasta 24%). La mayoría son pequeños, asintomáticos y pasan desapercibidos.
3) Patogénesis: teorías actuales (trauma, genética)
La causa exacta sigue sin estar completamente esclarecida, pero se manejan dos hipótesis principales que no son mutuamente excluyentes.
Teoría Mecánica (Traumática)
El roce crónico entre el borde inferior de la escápula y las costillas durante los movimientos del hombro desencadenaría una respuesta fibroblástica aberrante y elastogénesis defectuosa.
- ✓ Explica la localización típica y la predominancia en el lado derecho (diestros).
Teoría Genética
Se han descrito casos familiares y alteraciones cromosómicas recurrentes (amplificaciones en Xq12-q22 y 19p). La hipótesis integradora sugiere una predisposición genética que, sumada al estímulo mecánico crónico, da lugar a la lesión.
4) Presentación clínica: desde el hallazgo incidental al dolor
| Presentación | Descripción | Frecuencia |
|---|---|---|
| Asintomático / Hallazgo Incidental | Masa firme, poco móvil y profunda descubierta casualmente en imagen o palpación. | Muy frecuente (la mayoría). |
| Masa palpable | "Bulto" en parte baja de la espalda, debajo del omóplato; más evidente al cruzar el brazo. | Frecuente, motivo común de consulta. |
| Dolor o Molestia Local | Dolor sordo, intermitente, relacionado con la actividad o posturas específicas. | Ocurre en un subgrupo de pacientes. |
| Limitación funcional | Rigidez o leve limitación en la movilidad completa del hombro (infrecuente). | Poco frecuente. |
Exploración física clave: Pida al paciente que coloque la mano del lado afectado sobre el hombro contrario. Esta maniobra proyecta el borde inferior de la escápula hacia fuera, haciendo más palpable la masa.
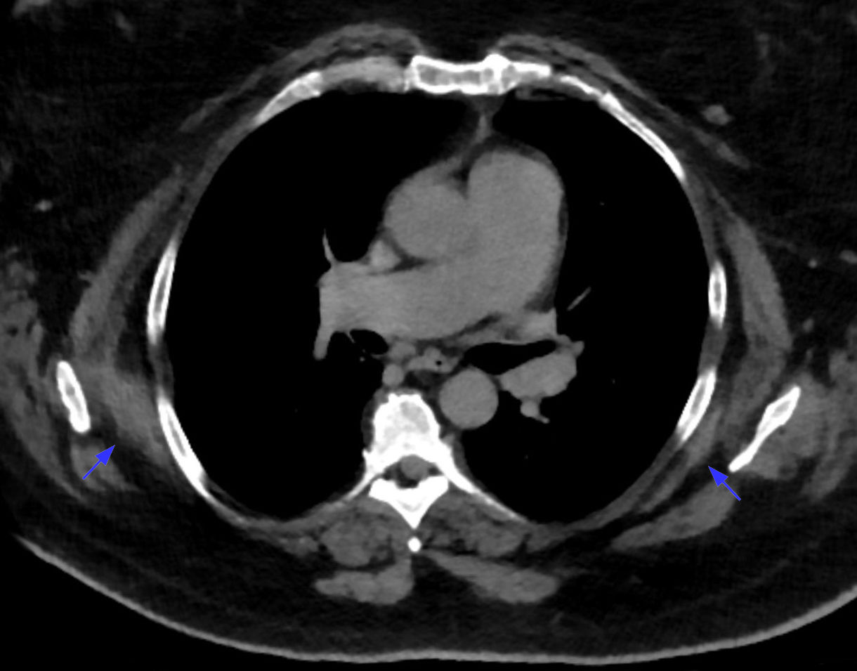
5) Diagnóstico por imagen: hallazgos patognomónicos
El diagnóstico es fundamentalmente radiológico. La combinación de localización típica y hallazgos característicos en TC o RM suele ser suficiente, evitando biopsia.
Ecografía
- Masa bien definida, ecogenicidad similar al músculo con franjas lineales ecogénicas (patrón estriado).
TC
- Masa lenticular entre escápula y pared torácica, con estrías lineales de densidad grasa intercaladas en tejido de densidad muscular.
RM
- T1: señal intermedia (músculo) con franjas hiperintensas (grasa).
- T2 con supresión grasa: las franjas se oscurecen.
- Realce variable, generalmente leve a moderado y heterogéneo.
¿Cuándo NO confiar solo en la imagen y considerar biopsia?
- Localización atípica (ej: muslo, brazo).
- Hallazgos ambiguos (masa homogénea, sin patrón estriado graso).
- Signos de agresividad (destrucción ósea, invasión muscular franca, crecimiento rápido).
6) Anatomía patológica: características distintivas
Macroscopía
Masa mal delimitada, no encapsulada, de 5-10 cm, con aspecto brillante, blanco-grisáceo y áreas amarillentas (grasa).
Microscopía (H&E)
- Hipocelular, células fusiformes sin atipia.
- Mezcla de colágeno, tejido adiposo maduro y fibras elásticas aberrantes (aspecto en helecho o borla).
Tinciones especiales e IHQ
- • Verhoeff-Van Gieson: fibras elásticas aberrantes teñidas de negro intenso (diagnóstico).
- • IHC: Vimentina (+), CD34 (+) en muchos casos. Negativo para actina, desmina, S-100, marcadores epiteliales.
7) Diagnóstico diferencial: distinguiéndolo de lesiones serias
| Lesión | Claves diferenciales | Implicación |
|---|---|---|
| Lipoma | Masa homogénea de grasa pura, sin componente fibroso estriado. | Benigno, manejo conservador. |
| Fibromatosis extra-abdominal | Más homogénea, hipointensa en T2, sin franjas grasas; infiltrativa. | Benigno localmente agresivo, requiere biopsia y manejo especializado. |
| Sarcoma de partes blandas | Más homogéneo, realce intenso, necrosis, nunca con patrón estriado graso. | MALIGNO – biopsia obligada en unidad de sarcomas. |
| Metástasis subcutánea | Historia oncológica, nódulo redondeado. | Maligna – biopsia para redirigir tratamiento. |
8) Manejo y tratamiento: cuándo operar y cuándo observar
Manejo Expectante (estándar)
Indicado: Pacientes asintomáticos o con molestias mínimas.
- Explicación y tranquilización.
- Control clínico sin radiología de rutina.
Tratamiento Quirúrgico
Indicado: Dolor invalidante, limitación funcional o preocupación estética tras fracaso de medidas conservadoras.
- Escisión marginal o intracapsular.
- Recurrencia local extremadamente baja (<1-2%).
🗺️ Algoritmo de decisión práctica
1. Sospecha clínica → 2. Confirmación por imagen (RM con patrón típico) → 3. ¿Paciente sintomático?
a) NO → manejo conservador.
b) SÍ → valorar cirugía.
4. ¿Hallazgos atípicos? → Derivar a Unidad de Tumores.
Resumen práctico
Indicaciones
- Masa firme, profunda y poco móvil en la región infraescapular, especialmente en mujeres mayores de 50 años.
- Hallazgo incidental en imagen de una masa lenticular entre la escápula y las costillas.
- Dolor sordo o molestia en la espalda alta relacionada con el movimiento del hombro, asociado a masa palpable.
Técnica
- Exploración física con maniobra de aducción escapular.
- Ecografía musculoesquelética como primera línea.
- Resonancia Magnética (RM) para confirmación y visualización del patrón estriado.
- Biopsia solo en casos atípicos, preferiblemente con aguja gruesa guiada por imagen.
Riesgos y complicaciones
- Sobrediagnóstico e intervención innecesaria (confundirlo con sarcoma).
- Subdiagnóstico de un sarcoma verdadero en la misma región.
- Complicaciones quirúrgicas (seroma, infección) en los casos operados.
Qué esperar del resultado
- Pronóstico excelente, sin potencial de malignización.
- Manejo expectante para la mayoría.
- Cirugía curativa en sintomáticos, con baja recurrencia.
Elastofibroma dorsi: clave radiológica
Localización típica · Patrón estriado · Manejo conservador
