Última revisión:
Condromatosis Sinovial
La condromatosis sinovial (también denominada osteocondromatosis sinovial) es una entidad benigna
caracterizada por la formación de nódulos cartilaginosos en estructuras con sinovial:
articulaciones, vainas tendinosas o bursas. Estos nódulos pueden desprenderse y convertirse en
cuerpos libres (“loose bodies”), que actúan como un “cuerpo extraño” mecánico dentro de la articulación,
produciendo dolor, bloqueos y degeneración articular secundaria.
Dos ideas prácticas son clave: (1) distinguir la forma primaria (proliferación sinovial autónoma)
de la forma secundaria (asociada a artrosis, traumatismos u otras causas), y (2) vigilar recidivas
y señales de alarma por el raro pero descrito riesgo de transformación maligna.
1) Definición y conceptos actuales
La condromatosis sinovial es una producción anómala de cartílago en el tejido sinovial. Ese cartílago puede permanecer adherido formando nódulos sésiles o pediculados, o desprenderse y circular como cuerpos libres dentro del espacio articular. No todos los cuerpos libres se calcifican, por lo que una radiografía “normal” no descarta la enfermedad.
Primaria vs secundaria (lo que cambia el manejo):
- ✓ Primaria: proceso proliferativo sinovial autónomo. Suele generar numerosos cuerpos libres de tamaño relativamente homogéneo. Es la forma que más se beneficia de la sinovectomía.
- ✓ Secundaria: aparece sobre una articulación “ya enferma” (artrosis, traumatismo, osteocondritis, etc.). Los cuerpos libres tienden a ser más variables y el contexto degenerativo manda. El tratamiento debe enfocarse en la patología de base.
La mayoría de los casos son monoarticulares. La rodilla es la localización más típica, seguida de cadera, hombro, codo y tobillo. También puede aparecer en pequeñas articulaciones y, más raramente, en sinovial extraarticular (vainas tendinosas, bursas).
2) Manifestaciones clínicas
La condromatosis sinovial suele presentarse en adultos, con un predominio masculino descrito en muchas series. Los síntomas son de carácter mecánico y pueden fluctuar en el tiempo. Los pacientes refieren dolor intermitente, tumefacción, derrame articular recurrente, sensación de “enganche” o bloqueo, rigidez y limitación de la movilidad. En ocasiones se palpan cuerpos libres o se percibe crepitación.
Pista clínica típica: historia larga de derrames o dolor mecánico y, en imagen, múltiples cuerpos libres (o sinovitis con nódulos cuando aún no calcifican).
Señales de alarma: dolor progresivo “no mecánico”, crecimiento rápido de la masa o de los cuerpos libres, recidivas repetidas en poco tiempo, masa de partes blandas expansiva o destrucción ósea franca. En estos casos, se debe sospechar transformación maligna (rara) y derivar a centro especializado.
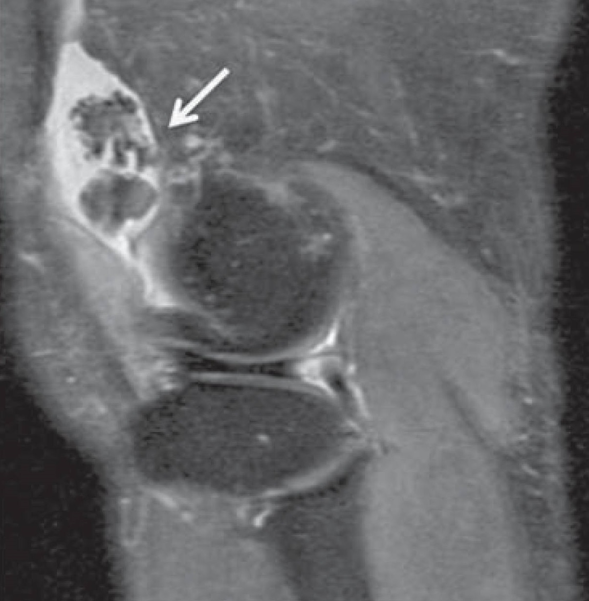
3) Estudios de imagen: lo que realmente ayuda
La imagen depende del grado de mineralización. Si hay calcificación u osificación, la radiografía orienta mucho. Si no hay calcificación, la radiografía puede mostrar solo derrame o ser poco específica.
📷 Radiografía
Múltiples cuerpos libres calcificados, a menudo numerosos y relativamente uniformes. En casos evolucionados puede coexistir artrosis secundaria.
🖥️ Tomografía computarizada (TC)
Útil para detectar y contar cuerpos libres mineralizados y definir su distribución. En articulaciones complejas (p. ej., cadera) ayuda a planificar el abordaje quirúrgico.
🧲 Resonancia magnética (RM)
Aporta valor cuando los cuerpos libres no están calcificados y para evaluar sinovitis, erosiones por presión, extensión extraarticular y afectación de tejidos blandos. El cartílago suele verse con señal baja/intermedia en T1 y alta en T2, con “vacíos de señal” si hay calcificación.
4) Anatomía patológica
Macroscopía
Nódulos cartilaginosos en sinovial (sésiles o pediculados) y, con frecuencia, cuerpos libres de tamaño variable (milímetros a centímetros). En fases avanzadas puede haber múltiples “bolitas” intraarticulares que confieren el aspecto característico de “lluvia de perlas”.
Microscopía
Cartílago hialino con actividad proliferativa en la sinovial. Puede observarse hipercelularidad y atipia reactiva, lo que a veces complica el diferencial con lesiones malignas de bajo grado (condrosarcoma). Por ello, el diagnóstico debe ser integrado con clínica e imagen.
Idea práctica: puede haber similitud microscópica con lesiones malignas de bajo grado; lo que pesa en la decisión es el patrón global: imagen, evolución clínica, presencia de recidivas y destrucción ósea.
5) Diagnóstico diferencial
El diagnóstico diferencial debe separarse en radiológico (qué se ve en la imagen) y histopatológico (qué puede confundirse en la biopsia).
🩻 Radiológico
| Entidad | Claves prácticas para diferenciar | 32Osteocondromatosis secundaria (artrosis)32 | Signos degenerativos claros (pinzamiento articular, osteofitos, esclerosis subcondral). Cuerpos libres menos “uniformes” y contexto de artrosis.32 |
|---|---|
| PVNS / TGCT difuso32 | RM con señal baja por hemosiderina (“blooming”) y sin patrón típico de múltiples cuerpos calcificados.32 |
| Lipoma arborescente32 | Proliferación sinovial lipomatosa; en RM se identifica grasa evidente con derrame. Suele asociarse a sinovitis crónica.32 |
| Hemangioma sinovial32 | Masa vascular; puede haber flebolitos. La RM y el realce ayudan al diagnóstico.32 |
| Condrosarcoma sinovial (muy raro)32 | Sospechar si masa expansiva, destrucción ósea franca o recidiva rápida/repetida. Confirmación histológica obligatoria.32 |
🔬 Histopatológico
| Entidad | Por qué puede confundirse |
|---|---|
| Condrosarcoma de bajo grado32 | Puede presentar atipia leve e hipercelularidad similar a la condromatosis sinovial. La clave suele estar en la invasión, destrucción ósea y el contexto clínico-radiológico.32 |
Regla de prudencia: si hay crecimiento rápido, recidiva precoz o destrucción ósea “de verdad”, derivar a circuito especializado y considerar biopsia.
6) Tratamiento y seguimiento
El tratamiento depende de los síntomas, el impacto funcional, la articulación implicada y la fase de la enfermedad. Si hay síntomas mecánicos o limitación, el objetivo es retirar los cuerpos libres y tratar la sinovial enferma para reducir el riesgo de recidiva.
Opciones terapéuticas
- 1 Observación: en casos paucisintomáticos y sin signos de alarma, con control clínico e imagen según evolución.
- 2 Extracción de cuerpos libres: mejora el dolor mecánico y los bloqueos; en algunos casos puede ser suficiente.
- 3 Sinovectomía (parcial o completa): indicada cuando hay sinovitis proliferativa activa o recidiva tras extracción simple. Puede realizarse por artroscopia (en rodilla, hombro) o por abordaje abierto en articulaciones complejas (cadera, codo) o con extensión extraarticular.
Enfoque práctico: preferir artroscopia cuando sea viable (p. ej., rodilla) y reservar el abordaje abierto para extensiones amplias, enfermedad extraarticular o articulaciones complejas. El seguimiento se individualiza, especialmente si ha habido recidiva previa.
7) Algoritmo práctico de manejo
Esquema útil: confirmar patrón por imagen, clasificar (primaria vs secundaria) y decidir entre observación, extracción de cuerpos libres o sinovectomía, dejando claro cuándo activar la alarma y pedir biopsia/circuito tumoral.
Resumen para la práctica clínica
Indicaciones
- ✓ Síntomas mecánicos persistentes (bloqueos, dolor por cuerpos libres) o limitación funcional relevante.
- ✓ Derrames recurrentes o sinovitis proliferativa en RM con sospecha de enfermedad activa.
- ✓ Recidiva tras tratamiento previo (plantear sinovectomía y revisar extensión).
- ✓ Dudas diagnósticas o necesidad de confirmar histología (especialmente si hay señales de alarma).
Técnica
- 🔧 Radiografía como primer paso; TC para mineralización y planificación; RM para enfermedad no calcificada y extensión.
- 🔧 Objetivo quirúrgico: retirar cuerpos libres + tratar sinovial enferma cuando corresponda.
- 🔧 Elegir artroscopia vs abierto según articulación, accesibilidad y extensión (y extraarticularidad).
- 🔧 Diagnóstico integrado: clínica + imagen + anatomía patológica si hay dudas.
Riesgos
- ⚠️ Recidiva (variable según articulación, extensión y técnica).
- ⚠️ Progresión a artrosis secundaria si hay larga evolución con cuerpos libres y sinovitis.
- ⚠️ Riesgo raro de transformación maligna descrita: sospechar si crecimiento rápido, recidiva precoz/repetida o destrucción ósea franca.
Resultados
- ✅ Mejoría del dolor mecánico y de la movilidad tras extracción de cuerpos libres (frecuentemente marcada).
- ✅ La sinovectomía reduce riesgo de recidiva en casos seleccionados, pero puede ser técnicamente exigente (p. ej., cadera).
- ✅ Si hay sospecha oncológica, la prioridad es circuito especializado y confirmación histológica.
8) Bibliografía
Soft Tissue and Bone Tumours. 5th ed. IARC; 2020.
Imaging of Synovial Chondromatosis. RadioGraphics. 2007;27(5):1465-1488.
Malignant Transformation of Synovial Chondromatosis. Am J Orthop. 2015;44(12):E484-E488.
Synovial Chondromatosis. NCBI Bookshelf (última actualización).
Recurrencia y abordajes artroscópicos/abiertos en rodilla y cadera.
Condromatosis sinovial
Primaria vs secundaria · Cuerpos libres · Sinovectomía · Seguimiento
